EHV5 AND PULMONARY FIBROSIS

Equine Veterinary Journal Early View January 2016

Heather Ferguson

 

Assessment of quantitative polymerase chain reaction for equine herpesvirus-5 in blood, nasal secretions and bronchoalveolar lavage fluid for the laboratory diagnosis of equine multinodular pulmonary fibrosis

 

Pusterla, K. G. Magdesian, S. M. Mapes, R. Zavodovskaya and P. H. Kass

 

 

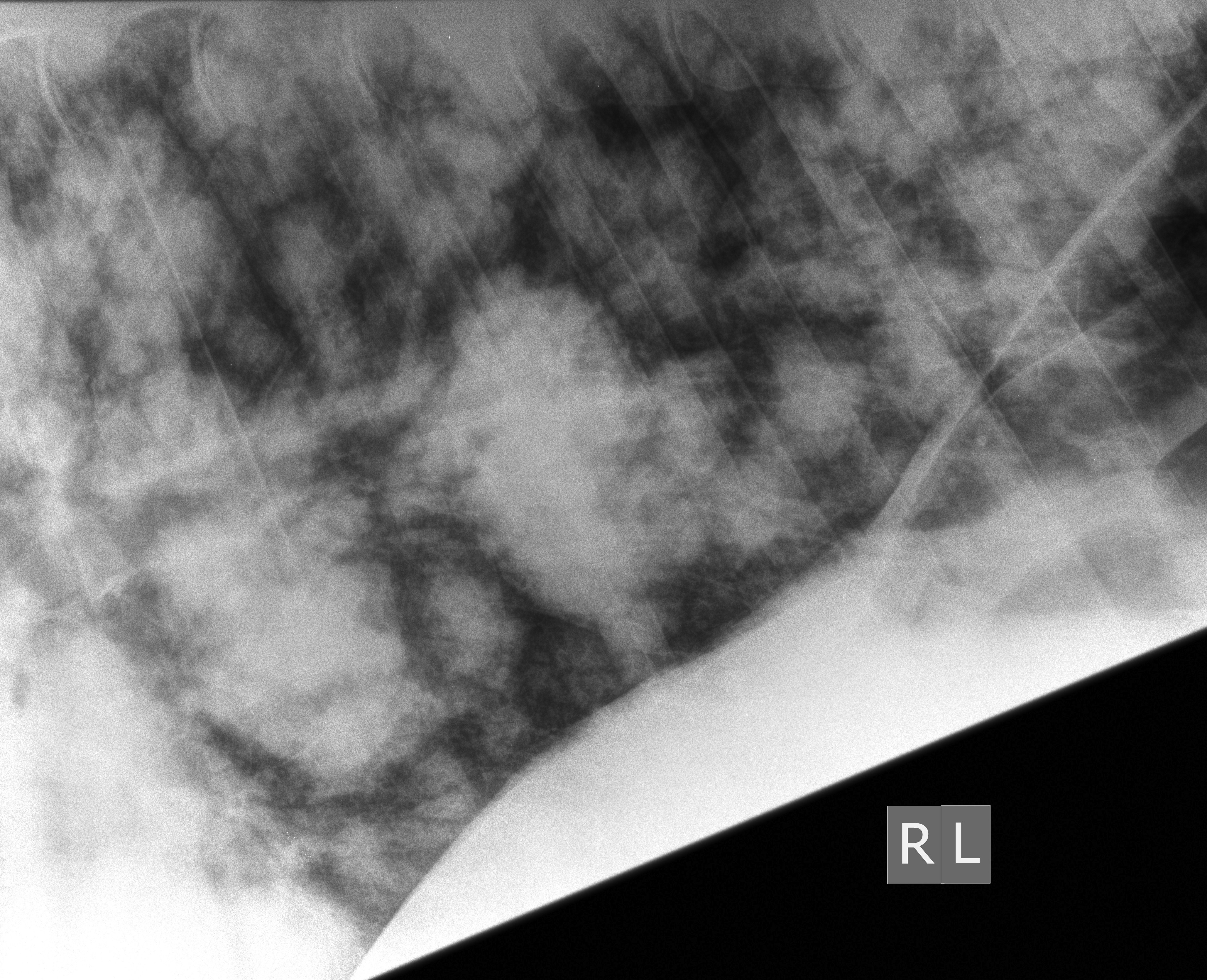
The diagnosis of equine multinodular pulmonary fibrosis (EMPF) requires histological examination of lung tissue, obtained either by percutaneous lung biopsy or at post mortem examination. Due to the potential risks of lung biopsy, a positive result for equine herpesvirus-5 (EHV-5) in respiratory secretions detected by quantitative polymerase chain reaction (qPCR) is often used to support diagnosis.

 

This study aimed to determine the prevalence of EHV-5 detection in respiratory samples from confirmed cases of EMPF, cases with other lung pathology and normal horses. Seventy adult horses of varying ages and breeds were included. Based on clinical findings, bronchoalveolar lavage (BAL) cytology, thoracic imaging and histopathology of lung tissue, the horses were divided into 4 groups: EMPF, inflammatory airway disease (IAD), non-EMPF interstitial lung disease and the control (horses euthanased for reasons not related to respiratory disease). Blood, nasal swabs and BAL fluid samples were tested for the presence of EHV-5 and the viral load by qPCR.

 

The highest rate of detection of EHV-5 was in the EMPF group in which 91% of blood samples, 82% of nasal swabs and 92% of BAL samples were positive. Viral loads in blood were significantly higher in the EMPF group compared with other groups. The viral load in nasal secretions was significantly higher in EMPF cases than in the two other lung disease groups. After the EMPF group, the control group had the highest rate of detection in nasal swabs (72%). The high rate of detection in the control group may be reflective of that population, or indicate a wider prevalence of latent infection in healthy horses. When both blood and nasal secretions were EHV-5 positive (regardless of viral load), the sensitivity for that horse having EMPF was 90% and the specificity 89.8%.

 

One horse in the IAD group was positive for EHV-5 on BAL fluid, with all other positive BAL samples being in the EMPF group. Therefore the presence of EHV-5 in BAL fluid is a consistent finding in EMPF.

 

 

 

Bottom line:

 

Detection of EHV-5 by qPCR in BAL samples, or EHV-5 detection in the combination of blood and nasal secretions are consistent with EMPF in suspected clinical cases.

 

 

--Ends--

Main Menu