REDUCED OXYTOCIN EXPRESSION WITH RETAINED FOETAL MEMBRANES

Equine Veterinary Journal Early View April 2015

 

By Heather Ferguson

 

Expression of oxytocin receptors is greatly reduced in the placenta of heavy mares with retained fetal membranes due to secondary uterine atony.

 

Rapacz-Leonard A, Ras A , Calka J and Janowski T.E

 

The aim of this study was to investigate the expression of oxytocin receptors in heavy draught mares affected by retained foetal membranes. The authors postulated that one reason for the high incidence (50%) of retained foetal membranes in heavy draught mares may be a difference in the expression of uterine oxyctocin receptors.

 

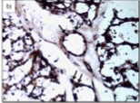
Placental biopsies were obtained from 8 mares, 4 of which had passed foetal membranes normally within 3 hours of parturition (control mares) and 4 with retention of foetal membranes due to secondary atony of the uterus. Mares with secondary atony of the uterus and retained foetal membranes were significantly older than control mares (average age in each group was 13 and 5 years respectively). Chemiluminescent western blotting was used to estimate the amount of oxytocin receptors in placental tissues (endometrium and allantochorion). In placental tissue from mares with retained foetal membranes, oxytocin expression was found to be 50 times less intense than in the placental tissue from control mares. Immunocytochemistry was used to determine the location of oxytocin receptors in the placental tissue. In cases of retained foetal membranes, the staining for oxytocin receptor expression was hardly visible. In control cases the staining was more intense, defining the locations where receptors were expressed. Expression of oxytocin receptors was particularly evident in the region where the endometrium and allantochorion meet.

 

As oxytocin expression is thought to be similar in both the endometrium and myometrium around the time of parturition, the authors suggest that oxytocin expression in the myometrium may also be reduced, contributing to secondary uterine atony observed in cases of retained foetal membranes. It was postulated that age-related changes to receptor numbers and binding affinity may be related to this reduction by as yet undetermined mechanisms.

 

 

Bottom line:

 

This study highlights that reduced oxytocin expression in the uterus may be a contributory factor to the high incidence of secondary uterine atony and retained foetal membrane in heavy draught mares. This may be related to increasing age.

 

 

--Ends--

Main Menu